






北京賽濡特是一家集口腔根管耗材研發、生產與銷售于一體的中關村高新技術企業,公司以創新為驅動力,2021年初獲得中國發明專利ZL2018 1 0902541.1(美國、歐盟、日本等國的專利已申請、審理中);2021年9月,賽濡特硅酸鍶生物陶瓷充填材料---根管充填糊劑C-Root SP,獲得國家藥監局三類醫療器械證國械注準20213170769,2021年12月,獲得美國FDA上市批準K212983;賽濡特根管充填糊劑C-Root SP的上市,不僅填補了國內空白,更引領世界根管充填進入鍶生物陶瓷時代!2022年北京賽濡特應邀參與國家標準驗證和修訂,成為根管封閉材料國家標準制修訂單位;未來,賽濡特將專注根管耗材領域,持續創新研發,用優質的產品和服務,助力牙醫,造福患者!
C-Root SP是預混合的、可即刻應用的、可注射的、遇水凝固的硅酸鹽類生物活性陶瓷糊劑材料,主要成分為硅酸鍶、氧化鋯、磷酸鈣、氫氧化鈣,用于根管的密封和永久充填,適合單尖法、側壓法和熱牙膠法。 C-Root SP為世界口腔醫生提供一個“鍶生物陶瓷”的新選擇! >>>



祝自洋老師案例

張云鳳老師案例

張凈玉老師案例

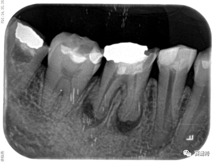
喻剛老師案例

楊艷老師案例

楊超老師案例




賽濡特杯-萬例根管案例海選丨掃碼查看

2022賽濡特根管充填大賽 | 點擊回顧

| 宝丰县 | 镇赉县 | 枣庄市 | 杭州市 | 庄河市 | 肥城市 |
| 杭锦旗 | 衡山县 | 扎赉特旗 | 房山区 | 鲁甸县 | 同德县 |
| 澄江县 | 茌平县 | 长丰县 | 宝坻区 | 长泰县 | 慈利县 |